Fertility NEWS LETTER
Ideal fertility : ICSI / IVF & Genetic Center India
Vol IV, Issue 9, Nov-Dec 2006
In This issue
- Pituitary: The gland to reckon with in ovulation induction
- Role of hCG in Ectopic pregnancy management
- Pregnancy reduction in Multifetal pregnancy, A case report
- Training on IVF and Embryo biotechnology
|
Dear Colleges
Hello
I wish you all a very happy and prosperous New Year.
As I got a feedback to write on ovulation induction methods ,I am starting that topic in fractions ,so that it should not be boring and exhaustive. Reproductive endocrine is an area where all the gynecologist wish to work but found it very confusing .Various level of the hormones are different at different part of menstrual cycle and they are really difficult to be remembered. I will use some analogy to write those complicated things so that any body can correlate. I feel whole reproductive endocrine( male and female ) is a complicated and delicate workshop and there are various checks and balances and all components are one or the other way inter related to each other. As I am the only person to write and do the proof reading ,there may be mistakes in grammar and the content. I request you to help me to improve the material and contribute your interesting cases .Your feedback will help us a lot This news letter is now going to 10,000 gynecologists throughout India, and posted on my website also.
With best regards,
Sincerely yours,
Dr. D’Pankar Banerji
1.Pituitary: The gland to reckon with in ovulation induction
Pituitary is a gland which acts as a general manager in a company with hypothalamus as CEO and ovaries as worker. It is acting on the worker through messengers and then controls itself or regulates itself by informers from the worker, those are inhibin and estradiol etc.
When we do the ovulation induction by pharmacological drugs, we try to acts as a manager of the ovary. But the ovary can not function properly under two managers simultaneously and it misbehaves.
To get a controlled behavior of the ovary we need to control or check the internal manager that is pituitary.
To control the pituitary ,we have two methods . First is either make it tired by continuously stimulation or hold that organ by a clamp. The earlier one is called Down regulation and the other is called competitive inhibition .
Down regulation is achieved by mimicking CEO’s ( hypothalamus’s) directives in higher amount. Pituitary will function to its fullest potential initially and sends messengers in high amount ( flare effect ) and then gradually gets tired and then unable to send any messengers further to the ovary ( Down regulation ).This condition can be achieved by GnRh ( gonadotropin releasing hormone ,CEO’s directives) analogues. These may be in depot form or daily form of doses. The other method is by competitive inhibition and that is achieved immediately when we inject a GnRh antagonist ( Ganirelix,Cetrorelix).
For down regulation ,GnRh analogues are usually injected in midluteal phase .If we wish to use the initial flare effect then they are started from the beginning of the menstrual cycle. With GnRh antagonists ,they are usually started when we require immediate inhibition of pituitary,that is in later part of follicular phase.
In both the cases the ultimate aim is to prevent premature LH surge from the pituitary so that we should get well matured eggs at optimum time. Untimely released , prematurely matured eggs are may be in high numbers but will not be of good quality.
If we do not control the pituitary and wish to stimulate the ovaries then we have to dance in the tune of pituitary and monitor the messengers (LH and estradiol)in women’s blood rigorously, especially in the later part of follicular phase ,which is difficult and sometimes expensive .
2. Role of hCG in Ectopic pregnancy management
Role of beta-HCG in ectopic pregnancy management is beyond doubt. We discuss few important facts of this marker in clinical practice.
- HCG is secreted by syncytiotrophoblast.
- Reaches a maximal level of 50,000-100,000 mIU/ml at 8-10 weeks gestation.
- Level of hCG at the time of expected but missed periods is around 100 mIU/ml .
- A negative hCG essentially excludes the live pregnancy ( except chronic ectopic )
- Sensitive radio immunoassay may become positive after 23 days of last period ( 9 days post conception.)Before first missed period.. Level as low as 5-10mIU/ml can be detected
- International reference preparation (IRP) is the main standard use today.
- An hCG of 1500 mIU/ml is the level at which a sac will be seen in most cases by transvaginal sonography and level of 6500mIU/ml where trans abdominal should detect the sac.( with multiple gestation , sacs will not be visible till the titer is little higher.)
- No Intrauterine sac with hCG >1500 mIU/ml ( for TVS ) and hCG >6500 mIU/ml (for TAS) ,think ectopic.
- Doubling time in normal pregnancy is 48 hours (2 days ) till it reaches 10,000 mIU/ml( around 6 weeks of pregnancy ).After it usually does not follow the rule.
- Doubling means 100% rise but lower limit of normal rise is ( in 48 hrs) is 66%.
- Even small gestational sac grows by 0.8 mm /day.
- Combined use of serum hCG and trans vaginal sonography is the current noninvasive approach ( Diagnostic laparoscopy is the gold standard )
- Urine pregnancy tests detect beta hCG levels of 25-50 mIU/ml
- Indeterminate ultrasonography and a hCG >2000 mIU/ml are diagnostic of nonviable gestation,either a ectopic pregnancy or a complete abortion. As a general rule ,a complete abortion will have a rapidly falling hCG level (50% over 48hrs.),whereas levels of a an ectopic pregnancy will rise or plateau.
- Criteria for methotrexate treatment in ectopic pregnancy is ,beta hCG should be less than 2000 mIU/ml and ectopic mass is less than 3.5 cm
- If the hCG is more than 300 mIU/ml on day 16-18 after artificial insemination there is 88% chance of a live birth .If level is less than 300 mIU/ml then chance of live birth is only 22%.
3. Pregnancy reduction in Multifetal Pregnancy, a case report
A difficult situation appears when an IVF center has to deals with the complication of ovarian hyper stimulation.
A patient named H.M referred to us by a gynecologist of town. She was a case of primary infertility and was treated by ovulation inducing drugs. She had undergone intrauterine insemination thrice and on fourth attempt the she achieved pregnancy.
She had undergone a routine ultrasound and found to be carrying triplet pregnancy. Looking at the economic status and the forthcoming risks of the triplet pregnancy, she was referred to us at Ideal Fertility for fetal reduction.
Repeat USG done to assess the gestational age and any gross abnormalities of any fetus and the zygocity of the pregnancy. The average age of the fetuses were found to be 8.5 weeks. She was explained all the complications of pregnancy reduction and asked to come on next day ,overnight fasting.
On 20th October 2006 she was taken in operation room and placed in lithotomy position and was anesthetized by Inj.Propofol iv by our anesthesiologist.
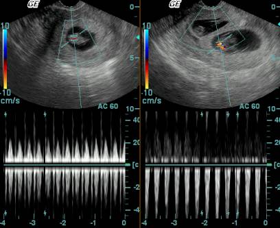
A repeat Transvaginal sonography was done with needle guide on it by center’s gynecologist . The closest sac was focused. A needle from Reproline 35 cm and 17 g was introduce into the thorax of the fetus and 2 ml of KCL (2 meqv/ml) injected into the thorax of the fetus .There was instant asystole .The cardiac activity of all the fetus was confirmed by simultaneous color Doppler .
Next day on 21st October 2006 ,repeat sonography was done to confirm the fetal death. Other fetuses were normal and there was no bleeding
4.TRAINING ON EMBRYO BIOTECHNOLOGY
Module I : Ovulation induction and Intra Uterine Insemination ( One day )
Module II : Conventional IVF and fundamentals of Embryology( Two days )
Module III : Intra cytoplasmic sperm injection, Micro manipulation ( Two days )
All the modules will be in continuation
Dates :
October 9-13 ,2006
December 11-15 ,2006
Charges :
Module I : Rs.2000.00
Module II : Rs.20,000.00
Module III : Rs. 50,000.00
For Module I and II Rs.20,000
For all the three modules/Module II and III : Rs.55,000.00
Accommodation :
Drafts : should be in favor of Dr. D’Pankar Banerji, payable at Jabalpur.
Last date for registration for the December course is 15th November 2006
Five participants allowed for Module II/III
Stay can be arranged in nearby hotels at an extra cost Rs.250-1000 per day
Lunch will be served during the training session.
Faculty :
Dr. D’Pankar Banerji ,Consulting Gynecologist and Infertility specialist
Dr.Mrs.Rinku Banerji,Embryologist
Course details can be provided after receiving cheque of Rs.100 with a self addressed envelope .
| Archives |
- Vol VIII, Issue 11, Nov 2010
- Vol VIII, issue 6, June,2010
- Vol VIII,issue 5, May 2010
- Vol VIII,issue 4, April 2010
- Vol VIII Issue 3, March 2010
- Vol VIII, Issue 1,Jan 2010
- Vol VII, Issue 12,Dec.2009
- Vol VII, Issue 11,Nov.2009
- Vol VII, Issue 10,Oct.2009
- Vol VII, Issue 9, Sep.2009
- Vol VII, Issue 8, Aug 2009
- Vol VII, Issue 7,July 2009
- Vol VII, Issue 6,June 2009
- Vol VII Issue 4 april 2009
- Vol VI, Issue 9, Sep 2008
- Vol Vi Issue 8, aug 2008
- Vol Vi Issue 7, july 2008
- Vol VI, Issue 6, June 2008
- Vol V, Issue 17, may 2008
|
- Vol IV, Issue 16, April 2008
- Vol III, Issue 15, March 2008
- Vol I & II, Issue 13-14, Jan Feb 2008
- Vol IV, Issue 12, December 2007
- Vol IV, Issue 11, November 2007
- Vol IV, Issue 10, October 2007
- Vol IV, Issue 9, September 2007
- Vol IV, Issue 8, August 2007
- Vol IV, Issue 7, July 2007
- Vol IV, Issue 6, June 2007
- Vol IV, Issue 5, May 2007
- Vol IV, Issue 4, April 2007
- Vol IV, Issue 3, March 2007
- Vol IV, Issue 2, FEB_2007
- Vol IV, Issue1, Jan 2007
- Vol III, Issue 9, Nov Dec 2006
- Vol II, issue7, July 2005
- Vol II, Issue4 April 2005
- Vol II, Issue3, March 2005
|
|